常穿高跟鞋的女性應備平底鞋交替穿
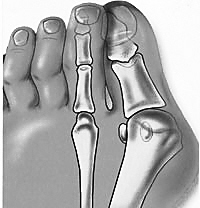
【中國鞋網-鞋與生活】拇外翻指拇趾骨和第一跖骨之關節傾斜超過15度。拇外翻由多種情況所造成, 如遺傳,經常穿著高跟、尖頭鞋, 使拇趾過分外翻。 另外, 扁平足患者較容易 形成拇趾外翻。
預防拇外翻:避免穿尖頭高跟鞋, 穿有足弓支撐的專業健康鞋,配合拇外翻矯正器為防止病情加重和預防并發癥, 舒緩拇趾外側韌帶的緊張以幫助減輕拇趾外側的拉扯痛楚,在產生拇外翻盡可能地保持半年以上的保守治療,當保守治療不理想的時候,可采用手術治療,因手術對腳是有一定的傷害,所以盡量避免手術。

31歲女子因常年穿高跟鞋導致殘疾,拄拐棍才能走路。日前,一則有關穿高跟鞋致殘的微博在網上熱傳。一位來自河南鄭州市的英語老師,16歲開始穿高跟鞋,15年后因為患上重度拇外翻,31歲的她需要拄拐才能走路。
“拇外翻的情況很常見,只要長時間穿高跟鞋的女孩子,幾乎或多或少都有類似表現。老師、空姐、服務員是最多的。”據醫生介紹:一年下來,他要為近20名重度拇外翻的患者做相關手術,其中絕大部分是女性。“幾乎都穿高跟鞋,特別是未成年就開始穿高跟鞋的,非常明顯。她們來就診,都是因為已經連穿平底鞋的時候都痛,實在走路困難了。”一些患者甚至需要鋸斷足部部分骨骼來矯正。日常門診中,“高跟鞋病”的患者更是隨處可見,大多前來求醫的是輕度的拇囊炎。
體負重集中在足跟、第一跖趾關節、外側圓(也就是小腳趾一側),穿上高跟鞋后,雙腳承受的壓力增加5倍,腳的負重發生改變導致大拇趾外側凸出“大疙瘩”,進而引發腿部肌肉疲勞,髖骨重心前移,脊椎變形。此外,穿高跟鞋行走,顯然比穿平底鞋更易發生踝關節扭傷,所以踝關節扭傷的女患者也很常見。
高跟鞋雖美,穿的時候也要悠著點。“女性的高跟鞋后跟超過7厘米會導致重心前移,身體的重量會壓在前腳掌導致骨頭變形。”專家指出,除了高跟鞋高度別過高以外,穿的時間長短也很關鍵。專家建議,平時應穿寬松一點的鞋。在一些要穿高跟鞋的場合,建議多備一雙平底鞋,以便交替著穿。上班族白領,在辦公室可常備平底鞋。平時多用熱水泡腳也有助于改善足部的血液循環。
- 上一篇:沒有上一篇了
- 下一篇:沒有下一篇了
- 1穿這種鞋上班的年輕人,你惹不起
- 2拋棄你的高跟鞋吧,現最流行的是“
- 3脫掉老爹鞋吧!今秋流行穿“德訓鞋
- 4國慶出游,去了上海才發現:老爹鞋
- 5羽絨服+鯊魚褲+老爹鞋:秋冬流行搭
- 6秋季時尚潮流:平頭鞋取代小白鞋,
- 7今年火了一雙平底鞋,叫“德訓鞋”
- 8今年不流行運動鞋了,“平頭鞋+闊腿
- 9秋天別再只顧上半身,用對牛仔褲+小
- 10入秋之后才發現:會穿的女人都愛“















